Le Mutazioni - I tipi di mutazione
Definizione
In un Post Precedente abbiamo trattato la definizione di mutazione, i principali agenti mutageni e altre cause delle mutazioni.Abbiamo poi puntualizzato il fatto che le mutazioni ex-novo, per essere ereditate dalla progenie, devono colpire le cellule germinali.
Mutazioni già preesistenti nell'individuo ovviamente interessano tutte le sue cellule e sono chiaramente ereditabili dalla progenie.
Per quanto riguarda la probabilità di ricevere queste mutazioni valgono le leggi della genetica mendeliana.
In questo post classifichiamo le mutazioni in base alla loro estensione: cioè quale e quanta porzione di DNA è stata colpita.
TIPI
DI MUTAZIONI
|
||
MUTAZIONI
PUNTIFORMI
|
MUTAZIONI
CROMOSOMICHE
|
MUTAZIONI
GENOMICHE
|
| Colpiscono un gene e interessano una o poche basi della sequenza di basi | Colpiscono un'ampia regione di uno o più cromosomi |
Alterano il
numero di cromosomi: spesso abbiamo un cromosoma in più,
raramente uno in meno
|
Vediamole
in dettaglio
|
||
MUTAZIONI
PUNTIFORMI
|
Mutazioni che interessano un singolo gene, in genere poche basi | |
Sostituzioni
TAC
CAT CCT AAC GTG C_
TAC
CAT CCT ATC
GTG C_
|
In
una mutazione per sostituzione
una o più basi del DNA all'interno di un gene, sia negli esoni,
che negli introni che nelle
sequenze regolative, come i promotori,
sono sostituite da basi diverse.
Come abbiamo visto nel post precedente è un processo che può derivare da errori nella replicazione, da alterazioni chimiche delle basi, sia spontanee che indotte da mutageni. Effetti: 1- Nessun cambiamento nell'aminoacido - mutazione silente 2- Cambiamento nell'aminoacido – Mutazione missenso 3- Formazione di un codone di STOP – Mutazione Non-senso |
|
| Microdelezioni ↑
TAC
CAT CCT AAC GTG C
TAC
CTC CTA ACG TGC _
o
Microinserzioni
TAC CAT
CCT AAC GTG _
↓
G
TAC
GCA TCC TAA
CGT G
NB:
Questa non è la sequenza dello stampo ma del filamento copia,
quindi la stessa dell'mRNA
|
Microdelezioni
Scomparsa
di uno o pochi nucleotidi lungo la sequenza del DNA, spesso
durante il processo replicativo.
Spontanee
o Indotte da agenti intercalanti
Effetti:
dipendono dal numero di nucleotidi mancanti.
Paradossalmente
fa più danni la mancanza di 1 o 2 nucleotidi, mentre la mancanza
di una tripletta (o multipli di 3) di nucleotidi può essere meno
dannosa.
Perché? |
Microinserzioni
Aggiunta
di uno o pochi nucleotidi lungo la sequenza del DNA, spesso
durante il processo replicativo.
Spontanee
o Indotte da agenti intercalanti
Effetti:
dipendono dal numero di nucleotidi aggiunti.
Paradossalmente
fa più danni l'aggiunta di 1 o 2 nucleotidi, mentre l'aggiunta di
una tripletta (o multipli di 3) di nucleotidi può essere meno
dannosa.
|
MUTAZIONI
CROMOSOMICHE
(in
genere sono causate dal malfunzionamento del crossing over durante
la meiosi: i gameti che ricevono il cromosoma aberrante possono
trasmetterlo alla progenie)
|
Mutazioni che alterano intere porzioni dei cromosomi. Sono associate a sindromi più o meno gravi | |
Delezioni
Durante
i processi ricombinativi (soprattutto) viene perduto un frammento
di cromosoma.
Le due estremità del cromosoma si risaldano e ottengo un cromosoma più corto. L'entità della delezione determina quanti geni ho perso nel processo.Le delezioni possono essere di varia entità. Per l'insorgere di una sindrome devono coinvolgere un certo gruppo di geni.
Se
sono abbastanza estese possono essere evidenti già nel cariotipo.
È
sempre necessaria un'analisi genetica più approfondita per
valutare l'estensione della delezione.
|
Esempio: Sindrome Cri-du-Chat mutazione: delezione del braccio corto del cromosoma 5 |
|
Duplicazioni
Due cause più comuni: - scambi non bilanciati tra cromatidi fratelli durante il crossing over, dovuti a un allineamento non corretto. Causate spesso dalla presenza di sequenze molto simili lungo il crosomoma (ad es trasposoni o altre sequenze moderatamente ripetute) un evento di questo tipo genera contemporaneamente una delezione sull'altro cromatide. - slittamento della DNA polimerasi che replica più volte la stessa sequenza (soprattutto in presenza di corte sequenze altamente ripetute) |
Esempio: Sindrome X-fragile mutazione: espansione di corte sequenze ripetute CGG all'interno del gene FMR1, che codifica per una proteina che regola l'espressione di mRNA. |
|
Inserzioni
Anche in un'inserzione il cromosoma mutato è più lungo del cromosoma normale. Però il materiale in più non deriva dal cromosoma stesso ma è "prelevato" da un altro cromosoma, sempre, generalmente, per scambi anomali durante in crossing over. Questo tipo di scambi si chiamano traslocazioni. vedi punto successivo |
||
Traslocazioni
In una traslocazione due cromosomi della stessa coppia o di coppie diverse si scambiano frammenti. Nel caso che la traslocazione sia reciproca e bilanciata non c'è perdita di materiale genetico. Nel caso sia unidirezionale e sbilanciata si causa un inserzione in un cromosoma e una delezione nell'altro. Anche nelle traslocazioni bilanciate, senza perdita di materiale genetico, comunque, sorgono problemi. Lo spostamento dei geni da una regione all'altra di due cromosomi diversi altera la regolazione dell'espressione e causa problemi di appaiamento durante il crossing over. |
Effetti: nelle traslocazioni reciproche a volte non si hanno sindromi osservabili, ma lo spostamento dei geni da un cromosoma all'altro, con conseguente alterazione dei meccanismi regolativi dell'espressione genica, è spesso presente in alcune forme tumorali. Inoltre queste traslocazioni ostacolano pesantemente il normale svolgimento del crossing over, con infertilità o con delle conseguenze a catena che possono portare ad altre anomalie come alcune trisomie, che sono trasmissibili alla progenie nonostante i genitori portatori non mostrino patologie associate. |
|
Inversioni
Nelle inversioni una parte del cromosoma si rompe e si ribalta di 180 gradi per poi risaldarsi. L'inversione può interessare un solo braccio del cromosoma lasciando inalterata l'organizzazione attorno al centromero. Inversione Paracentrica Oppure può comprendere tutte e due i bracci del cromosoma e il centromero, Inversione Pericentrica. Anche se l'inversione può non comportare perdita di materiale genetico, si porta sempre dietro i soliti problemi di regolazione genica e di appaiamenti scorretti durante la meiosi, con successive delezioni e duplicazioni. |
Appaiamento alterato dei cromosomi in caso di inversione pericentrica
|
MUTAZIONI
GENOMICHE
(in
genere causate da fenomeni di non-disgiunzione dei cromosomi nella
meiosi, con gameti che trasportano un cromosoma in più o uno in
meno)
|
mutazioni
che alterano il numero dei cromosomi ma non la struttura degli
stessi.
Nell'uomo
sono presenti ANEUPLOIDIE ma non POLIPLOIDIE (le poliploidie sono
comuni nelle piante e non negli animali)
|
|
| Trisomie In una trisomia esistono tre copie di un cromosoma. Le trisomie vengono classificate in base al cromosoma presente in triplice copia. Danno sindromi più o meno gravi, a seconda del cromosoma coinvolto. La più comune e studiata trisomia è la 21 nota come sindrome di Down. Origine: Durante la formazione dei gameti, cellule uovo o spermatozoi, nell'Anafase I o II i cromosomi omologhi restano appaiati e migrazione insieme in una delle due cellule figlie. Per cui un gamete riceve entrambi i cromosomi e l'altro nessuno. Al momento della fecondazione i due cromosomi appaiati entrano nel pool genomico insieme a quello portato dall'altro gamete. Aneuploidia: Questo fenomeno rientra nelle Aneuploidie. Cioè un'alterazione nel numero di un cromosoma soltanto e non dell'intero corredo cromosomico. In quel caso di parla di diploidia. |
Cariotipo umano con trisomia 21 La non-disgiunzione: (durante la Meiosi I) La non-disgiunzione: (durante la Meiosi II) |
|
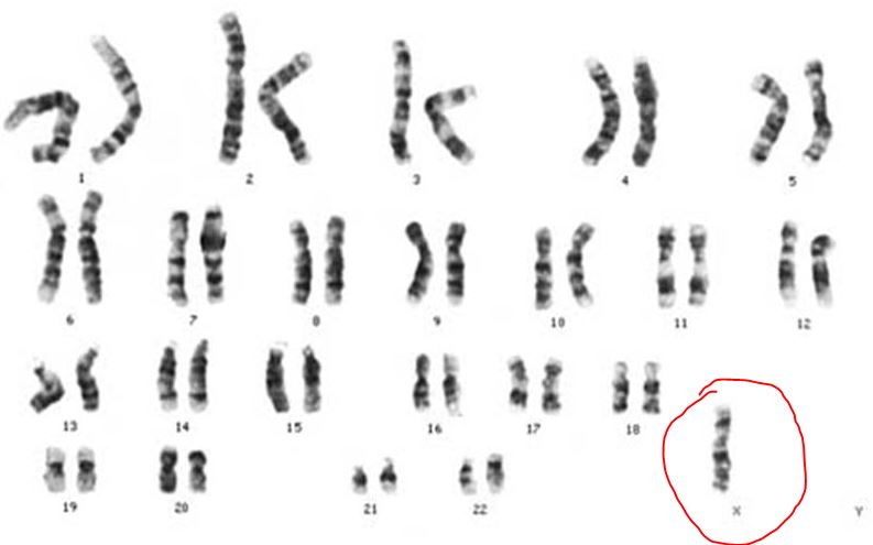
| Monosomie Le monosomie non sono tollerate nella specie umana. La presenza di un unico cromosoma della coppia è incompatibile con la vita. L'unica monosomia compatibile con la vita è quella associata alla sindrome di Turner X0. Ricordiamo che anche nelle donne XX uno dei due cromosomi è inattivato. Quindi la presenza di un solo cromosoma X è compatibile con la sopravvivenza. |
Effetti: gli effetti della Sindrome di Turner sono variabili. Comportano sempre problemi di sterilità, gracilità, e una serie di disturbi di diverso grado probabilmente collegati alla presenza di un solo allele per tutti i geni situati sul cromosoma X. Resta comunque il solo caso di monosomia compatibile con la vita nella specie umana. (trisomie che coinvolgono i cromosomi sessuali sono abbastanza frequenti: XYY - Maschi con un doppio cromosoma Y ma non manifestano particolari patologie XXX - Femmine con sindrome detta della tripla X, anche in questo caso, non presenta disturbi di particolare rilevanza. XXY - Maschi con sindrome di Klinefelter, affetti da sterilità e patologie non particolarmente rilevanti nella maggior parte dei casi, dovute soprattutto a squilibri ormonali) |
|
RICAPITOLANDO:
Le mutazioni possono essere di varia estensione:
Puntiformi - se interessano un solo gene
Cromosomiche - se alterano la struttura dei cromosomi
Genomiche se alterano il numero dei cromosomi.
Le mutazioni puntiformi possono generare danni di diverso grado, dipende dal tipo e da dove colpiscono (questo lo vedremo in un post successivo)
Le aberrazioni cromosomiche danno sempre problemi. Soprattutto le duplicazioni, le delezioni e le traslocazioni non bilanciate.
Le traslocazioni bilanciate e le inversioni, possono anche non dare grossi problemi nei portatori ma comportano sempre la possibilità di generare gli altri tipi durante la meiosi.
Inoltre possono essere correlate nella genesi dei tumori.
Le mutazioni genomiche trisomiche sono responsabili di sindromi che interessano molti organi, le più tollerate sono quelle che coinvolgono i cromosomi sessuali che hanno dei sistemi di compensazione dell'espressione genica già evolutivamente prestabiliti: basta pensare al cromosoma X singolo negli uomini e doppio nelle donne.
Le mutazioni genomiche monosomiche nella specie umana sono incompatibili con la vita, tranne X0 per quello appena detto nel paragrago precedente
Nel prossimo post vedremo com'è possibile che mutazioni che coinvolgono una singola base siano distruttive per l'attività della proteina, oppure completamente ininfluenti.
VEDI ANCHE:
Le Mutazioni - I Tipi di Mutazione
Le Mutazioni - definizione e agenti mutageni
Le Mutazioni - Classificazione in base agli effetti - le mutazioni neutre
Le Mutazioni - Classificazione in base agli effetti -mutazioni con perdita di funzione











Nessun commento:
Posta un commento